
Dental Implants
Dreaming of a Complete, Healthy Smile?
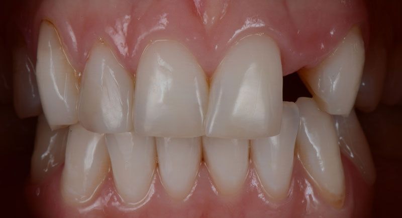
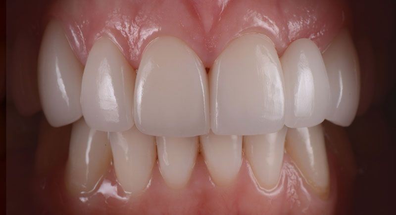
A Dental Implant Overview
- Once your jawbone tissue is deemed healthy enough to support a titanium or zirconia dental implant, your oral surgeon will surgically insert an implant where natural teeth are missing. Each screw-shaped implant will take the place of a missing tooth root.
- During four to six months of healing, your jawbone will fuse around each implant, securing it in place. Then, you will come back for a second dentistry procedure. Next, a connector called an abutment will be attached to each dental implant. Dental restorations will eventually be attached to the abutments.
- After a few more weeks of healing, you will visit your general dentist to have customized crowns, bridges, or dentures attached to the abutments. Then you can show off your new smile to Saratoga Springs and the world.
Our surgeons will go over every step of your implant procedure with you and your dentist to make sure you receive the best cosmetic and functional results possible.
Why Go to An Oral Surgeon for Dental Implants?
To become oral surgeons, each of our doctors completed a multi-year residency after dental school, which included specific training in oral surgery, administering anesthesia, oral disease causes and treatments, and other complex dental issues. They also both passed difficult exams to become board certified.
This means our oral surgeons have more knowledge, training, and experience than a general dentist when it comes to performing precise and effective dental implant surgery. Local dentists may offer implant surgery, but chances are they do not have the training and education of Drs. Burton and Rasmussen.
Rave Reviews From Our Smiling Patients
I had such a wonderful experience. I’m terrified of dental procedures and Dr.Rassmussen made it so easy!!! Well worth it!! Thank you Dr.Rassmussen.
View on GoogleDr. Rasmussen and his staff are wonderful! They explained the process and listened to my concerns/answered all of my questions. Highly recommend them!
View on Google6 Outstanding Benefits of Dental Implants
Better Jawbone Health
When a tooth is missing, the jawbone beneath it can weaken and shrink. Dental implants stimulate bone growth, improving jaw health. Implants can also stop the tooth on either side of a smile gap from shifting out of place.
Improved Oral Functions
Even one missing tooth can make chewing and biting painful or difficult. Also, your tongue needs teeth to pronounce sounds correctly. Implants with attached restorations can restore these important functions.
Restoration Stability
When dental restorations, such as dentures, are attached to implants, they stay put. Removable dentures held in place with dental adhesive can easily fall out when you eat to talk.
Long-Lasting Investment
Normal oral health care, along with regular checkups, can ensure your implants will last a lifetime. This makes implants a worthy investment.
Improved Self-Confidence
Dental implants and restorations such as dentures can give you a healthy-looking smile that lights up a room. This can boost your self-esteem in business or social situations.
Can Make You Look Younger
Missing teeth can cause your face to appear aged and sunken. Implants, along with restorations like dentures, can fill out your cheeks, giving you a healthier, more youthful appearance.
Suffering from Weakened Jawbone Tissue? A Bone Graft Can Help
If your jawbone has become weakened due to missing teeth, it may not be strong enough to support implants. However, our surgeons can perform a bone graft to strengthen your jawbone tissue.
First, your oral surgeon will remove a healthy section of bone from your jaw. This is the graft. The graft will then be placed above or below where an implant will eventually be inserted. There is little chance of rejection since the graft is from your own tissue.
After three to six months, the graft will fuse with your jawbone, strengthening the area. An implant can then be placed where you need one.

Do Dental Procedures Make You Nervous? Relax. Sedation Options are Available.
We know that some patients are extremely anxious about oral surgery or dental procedures in general. We care about your comfort. That is why we offer gentle and safe sedation dentistry. Contact our practice to learn more.




